institut
|
team
|
leistungen
|
galerie
|
kontakt
|
aktuell
|
links
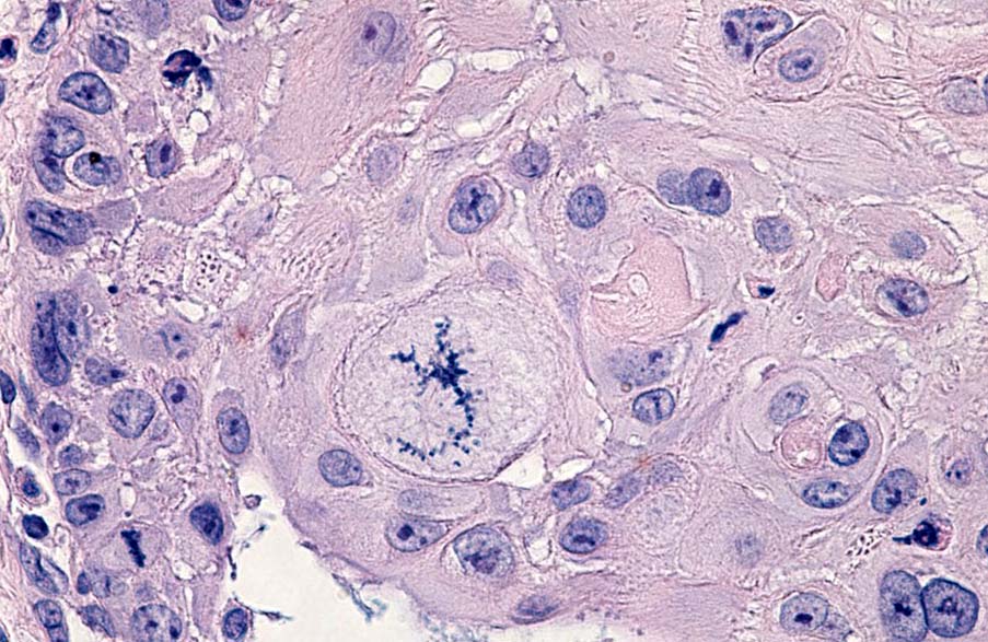
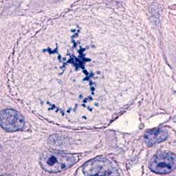
Mitosefigur in Form eines Skorpions